


잇몸이 붓고 아플 때, 많은 사람들이 이에 대한 걱정으로 가득 차게 됩니다. 일반적으로 이는 치주 질환의 초기 증상일 수 있으며, 신속하게 원인을 파악하고 적절한 대처를 하지 않으면 상황이 악화될 수 있습니다. 오늘은 잇몸의 염증과 통증을 유발하는 여러 원인, 이를 효과적으로 예방하고 치료하는 방법에 대해 깊이 있게 알아보겠습니다. 또한, 주기적인 치과 검진의 중요성과 함께 간단한 자가 진단 방법에 대해서도 살펴보겠습니다. 이를 통해 healthier한 구강 환경을 만드는 데 도움이 되기를 바랍니다.
잇몸에 부종과 통증이 발생하는 이유



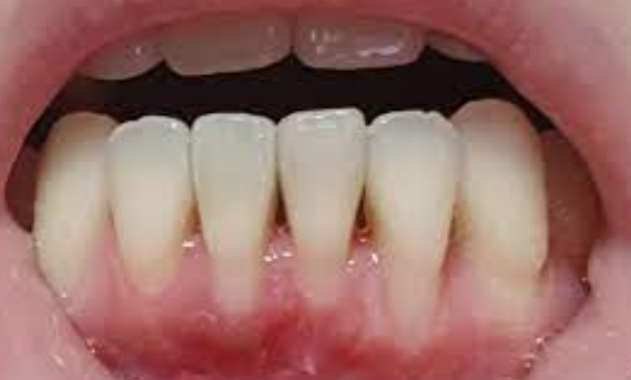
잇몸이 붓고 아픈 이유는 다양하지만, 그 중에서도 가장 흔한 원인은 바로 치은염입니다. 치은염은 잇몸에 발생하는 염증으로, 주로 플라그나 세균으로 인해 발생하며, 전반적인 구강 건강에 큰 영향을 미칠 수 있습니다. 이러한 염증은 치료를 받지 않으면 잇몸이 점차적으로 부풀어 오르게 되고, 심한 경우에는 치주염으로 발전할 수 있습니다.
치은염의 증상



치은염의 초기 증상으로는 통증, 붓기, 그리고 잇몸에서의 출혈이 포함됩니다. 이와 같은 증상은 다음과 같이 서술할 수 있습니다.
- 붓기: 잇몸이 부풀어 오르고 팽창된 형태로 보입니다. 이는 잇몸 내부에서 염증이 발생하고 있음을 나타냅니다.
- 통증: 점차적으로 통증이 느껴지며, 잇몸에 강한 압력을 가하거나 음식물을 씹을 때 더욱 심해질 수 있습니다.
- 출혈: 특히 양치질이나 치실 사용 시 잇몸에서 출혈이 동반될 수 있습니다. 이러한 출혈은 염증으로 인해 발생합니다.
이렇듯 치은염은 초기에는 경미한 증상을 보이다가, 방치할 경우 심각한 문제를 일으킬 수 있습니다. 따라서 증상을 느끼게 되는 즉시 치과를 방문하는 것이 무엇보다 중요합니다.
기타 가능성 있는 원인



잇몸의 염증은 치은염 외에도 여러 가지 원인으로 발생할 수 있습니다. 예를 들어, 다음과 같은 조건들이 이에 해당합니다:
- 비타민 결핍: 특히 비타민 C가 결핍될 경우 잇몸의 건강이 저하될 수 있습니다.
- 호르몬 변화: 임신, 생리주기, 폐경기 등의 호르몬 변화가 잇몸에 영향을 줄 수 있습니다.
- 면역 약화: 당뇨병이나 HIV/AIDS와 같은 질병으로 인해 면역력이 약해진 경우, 잇몸 환경이 악화될 수 있습니다.
이와 같은 다양한 원인들은 잇몸의 건강 상태에 중요한 요인으로 작용하므로, 지속적으로 자신의 구강 상태를 체크하는 것이 필요합니다.
잇몸 건강을 위한 예방 및 관리 방법



잇몸의 붓기와 통증을 예방하기 위해서는 일상적인 구강 관리가 필수적입니다. 여기서 중요한 것은 잇몸과 이의 건강을 유지하기 위한 규칙적인 관리 프로그램입니다. 아래는 몇 가지 실질적인 관리 방법입니다.
정기적인 구강 관리 실행



가장 기본적이고도 중요한 방법은 정기적인 치과 검진 및 치아 청소입니다. 최소 6개월에 한 번 정도는 치과를 방문하여 전문가의 도움을 받는 것이 좋습니다. 이를 통해 초기의 작은 문제도 조기에 발견할 수 있습니다.
일상적인 구강 위생 관리



또한, 개인적인 구강 관리도 소홀히 해서는 안 됩니다. 매일 올바른 양치질과 치실 사용은 필수적입니다.
- 양치질: 치아와 잇몸을 부드럽고 꼼꼼하게 닦아내는 것이 중요합니다. 이를 통해 플라그의 형성을 최소화할 수 있습니다.
- 치실 사용: 치아 사이의 음식물 찌꺼기와 세균 제거에 효과적이며, 이를 통해 잇몸의 염증을 예방할 수 있습니다.
건강한 식습관 유지



식단 역시 잇몸 건강에 큰 영향을 미칩니다. 균형 잡힌 식사는 구강 건강을 지키는 데 도움을 줍니다. 특히, 비타민이 풍부한 식품을 섭취하는 것이 좋습니다.
- 비타민 C: 오렌지, 키위, 브로콜리 등 비타민 C가 풍부한 과일과 채소를 통해 잇몸의 저항력을 강화할 수 있습니다.
- 오메가-3 지방산: 연어, 호두, 아보카도 등은 염증 감소에 좋은 음식들입니다.
이렇듯 여러 방법으로 잇몸 건강을 유지할 수 있지만, 모든 예방 조치에도 불구하고 잇몸의 붓기와 통증이 지속되면 다양한 병리적인 원인이 있을 수 있으므로 반드시 전문가의 조언을 받는 것이 좋습니다.
결론



결론적으로 잇몸이 붓고 아플 때는 이를 무시하지 말고 즉각적인 대처를 하는 것이 중요합니다. 다양한 원인이 있을 수 있으며, 적절한 대응책이 필요합니다. 정기적인 치과 검진과 개인적인 구강 관리, 그리고 올바른 식습관이 결합된다면 건강한 잇몸을 유지할 수 있습니다. 잇몸 건강을 지키는 것은 단순히 구강 건강만이 아니라, 전반적인 신체 건강에도 중요하다는 점을 잊지 말아야 합니다. 잇몸 통증이나 이상을 느낀다면, 주저하지 말고 전문가를 찾아 조치를 취하는 것이 바람직합니다. 이를 통해 건강하고 행복한 삶을 영위하기를 바랍니다.