


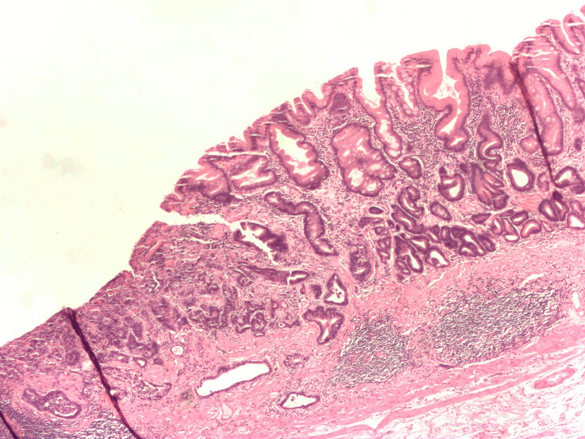
장상피화생, 즉 intestinal metaplasia는 위장관 질환의 중요한 병리학적 변화 중 하나로, 위 점막의 상피세포가 장 상피세포로 대체되는 현상을 일컫습니다. 이 변화는 종종 만성 위염이나 헬리코박터 파일로리 감염과 관련이 있으며, 이러한 병변이 암으로 발전할 가능성을 내포하고 있습니다. 이 글에서는 장상피화생이 암으로 변하는 과정과 그 기간, 그리고 위험 요인들에 대해 자세히 탐구해 보도록 하겠습니다.
장상피화생의 정의와 병리학적 의미



장상피화생은 위 점막에서 발생하는 비정상적인 세포 변화로, 일반적으로 위점막이 장의 특수한 상피세포로 바뀌는过程입니다. 이는 다양한 원인에 의해 유발될 수 있으며, 위염, 흡연, 영양결핍, 그리고 유전적 요인 등이 포함됩니다. 장상피화생의 발생은 위암 발생 위험을 증가시키는 주요 원인이라고 알려져 있습니다.



장상피화생을 간단히 설명하자면, 정상적인 위점막 세포가 장관의 세포로 변형되어 특정한 환경에 적응하는 과정으로 볼 수 있습니다. 이러한 변화는 종종 위에서의 만성적인 자극에 대한 반응으로, 예를 들어, 헬리코박터 파일로리 감염에 의해 지속적인 염증이 발생할 경우 나타날 수 있습니다. 장상피화생이 진행됨에 따라 해당 조직의 세포가 비정상적으로 증식하게 되고, 이로 인해 암으로의 발전 가능성이 높아질 수 있습니다.
장상피화생의 발생 원인



장상피화생이 발생하는 원인에는 여러 가지가 있습니다. 가장 주된 요인은 헬리코박터 파일로리 감염입니다. 이 미생물은 위 점막에 지속적인 염증을 유발하며, 만성 위염 및 장상피화생으로 발전할 가능성을 높입니다. 그 외에도 비타민 B12 결핍, 흡연, 과도한 음주, 불규칙한 식습관 등 다양한 환경적 요인이 이러한 변화를 유도할 수 있습니다.
- 헬리코박터 파일로리 감염
- 영양 부족 및 결핍
- 흡연 및 음주
- 유전적 소인
- 만성 염증 및 위암 가족력
이러한 원인들은 각각이 서로 상호작용을 통해 장상피화생의 발생에 기여할 수 있으며, 특히 이러한 변화의 발생 시기와 빈도는 개인의 건강 상태, 생활 습관, 그리고 환경적 요인에 따라 달라질 수 있습니다.
장상피화생과 암으로의 진행 과정



장상피화생은 단순한 세포 변화가 아닌 암으로 발전할 수 있는 매우 중요한 전 단계입니다. 장상피화생에 이어지는 경과는 일반적으로 위암으로 발전하기까지 여러 가지 단계를 거칩니다. 이러한 과정은 '위암 경로'로 알려져 있으며, 일반적으로 10년에서 20년의 기간이 필요하다고 알려져 있습니다. 이 시간은 개인의 전반적인 건강 상태와 장상피화생의 진행 정도에 따라 달라질 수 있습니다.



장상피화생의 세포가 비정상적으로 증식하게 되면, 이는 고위험 환자에서 dysplasia(이형성)를 유발하게 됩니다. 이형성은 세포가 정상 상태에서 벗어나 비정상적인 형태가 되는 상태로, 이러한 상태는 암의 전조 증상으로 해석될 수 있습니다. 따라서, 장상피화생이 발견된 환자에 대해서는 반드시 정기적인 검진과 더불어 위내시경과 같은 검사 방법을 통해 세포의 변화를 모니터링하는 것이 중요합니다.
위암으로의 변환 속도



장상피화생이 위암으로 변환되는 속도는 여러 요인에 의해 영향을 받습니다. 주요 요인은 다음과 같은 것들이 있습니다.
- 성별: 남성이 여성보다 암 발병 확률이 더 높은 경향이 있습니다.
- 나이: 나이가 많을수록 위험도가 증가합니다.
- 유전적 소인: 가족력에 위험인자가 있을 경우 발병 가능성이 높아집니다.
- 생활습관: 건강하지 못한 식습관, 흡연, 비만 등이 위험 요소로 작용합니다.
- 헬리코박터 파일로리 감염 여부
이러한 점들을 고려했을 때, 장상피화생의 치료나 관리 방안을 모색하는 것이 매우 중요합니다. 조기 발견과 예방적 조치가 위암으로 발전하는 과정을 늦출 수 있는 가능성이 있기 때문입니다.
예방 및 관리 방법



장상피화생과 그로 인한 위암 발생을 예방하기 위해서는 몇 가지 중요한 관리 및 예방 사항이 있습니다. 먼저, 정기적인 위내시경 검사와 검사 결과에 따른 관리가 필수적입니다. 이러한 검사를 통해 조기 발견이 가능하며, 조기 치료가 이루어질 수 있습니다. 또한, 이하의 사항들을 준수하는 것도 중요합니다.



- 헬리코박터 파일로리 감염 치료
- 균형 잡힌 식사 및 건강한 생활 습관
- 금연 및 음주 줄이기
- 정기적인 건강 검진
- 비타민 B12 섭취 증대
예방 조치를 실천함으로써 장상피화생의 진행을 억제하고, 위암으로의 발전 위험을 줄일 수 있습니다. 암 예방은 단순한 치료가 아닌, 사전 예방에 중점을 두어 접근해야 한다는 점을 잊지 말아야 합니다.
결론



장상피화생은 위암으로의 진행 가능성이 큰 중요한 병리학적 변화입니다. 이 과정을 이해하고 예방하기 위한 노력이 필요하며, 조기 발견과 건강한 생활 습관이 매우 중요합니다. 무엇보다도, 장상피화생이 발견된 경우에는 정기적인 검진과 함께 전문가의 상담을 통해 적절한 관리를 받아야 합니다. 이러한 과정을 통해 암 발생 위험을 효과적으로 관리하고 예방할 수 있습니다.