


의학의 발전과 과학 기술의 혁신은 인체 내부를 안전하고 비침습적으로 진단하는 방법을 지속적으로 혁신해왔습니다. 이러한 혁신 중에서 특히 중요한 두 가지 기술, 즉 'MRA'(자기공명혈관조영술)와 'MRI'(자기공명영상)이 있습니다. 이 두 가지 기술은 대중에게 잘 알려져 있지만, 그 목적과 작용 방식이 상당히 다릅니다. 이 블로그 포스트에서는 MRA와 MRI의 차이를 꼼꼼히 살펴보고, 각각의 장점과 단점, 임상적 활용도에 대해 논의해보겠습니다. 이를 통해 독자들이 두 가지 기술의 차이는 물론, 각 기술이 어떻게 활용되는지를 명확히 이해할 수 있도록 돕고자 합니다.
MRA와 MRI의 기본 개념
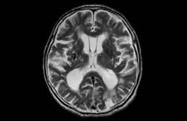
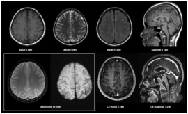
MRA와 MRI는 모두 자기 공명 현상을 이용하여 인체의 내부 구조를 촬영하는 비침습적인 의료 영상 기술입니다. 하지만 이 두 가지는 그 촬영 목적과 방법에서 큰 차이를 보입니다. 먼저, MRI는 인체의 다양한 조직을 상세하게 시각화하는 데 초점을 맞추고 있습니다. 이는 주로 뇌, 척수, 관절, 그리고 복부 장기 등을 평가하는데 사용됩니다. MRI는 강력한 자석과 전자기파를 이용해 인체 내부의 수소 원자의 반응을 기록하여 이미지를 생성합니다. 이는 고해상도의 이미지를 제공하여 전문가들이 각종 질병이나 이상을 진단하는 데 매우 유용합니다.



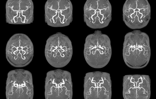
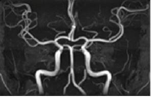
반면에 MRA는 혈관의 구조와 혈류를 시각화하는 데 집중된 기술입니다. 성공적인 심혈관 진단을 위해 혈관의 상태를 정확히 파악하는 것이 중요한데, MRA는 이러한 혈관 최적화 진단에 매우 효과적입니다. MRA는 MRI의 원리를 기반으로 하면서도, 특정한 혈관을 강조하여 더 잘 보기 위해 조영제를 사용하기도 합니다. 이로 인해, 의사는 혈관의 톤과 흐름을 보다 명확하게 관찰할 수 있으며, 협착증, 혈전, 기타 혈관 질병의 발견에 큰 도움을 줍니다. MRA와 MRI는 모두 안전한 검사 방법으로, 특히 방사선 노출이 없다는 점에서 의료진과 환자 모두에게 선호됩니다. 하지만 두 기술의 적용 분야와 사용하는 기법이 다르기 때문에 의사와 환자 모두가 각 기법의 특성을 잘 이해하고 활용하는 것이 중요합니다.
MRA의 특징과 장점



MRA의 주요 특징은 혈관을 중심으로 한 영상을 생성하며, 비침습적으로 혈관 질환을 평가할 수 있다는 점입니다. MRA는 주로 다음과 같은 상황에서 활용됩니다:
- 혈관의 협착이나 폐색을 진단: MRA는 동맥과 정맥을 자세히 시각화하여 혈관의 좁아진 부분이나 막힌 부분을 확인할 수 있게 해줍니다.
- 뇌혈관 질환 평가: 뇌졸중을 진단하기 위한 주요 진단 방식으로 활용되며, 뇌혈관의 이상을 조기에 발견할 수 있습니다.



- 동맥류 및 기타 혈관 abnormality 조기에 발견: MRA는 암 투병 과정에서 혈관의 형태를 알 수 있게 하여, 동맥류와 같은 혈관 기형의 조기 발견에 매우 효과적입니다.
MRA의 장점 중 하나는 빠르고 비침습적이라는 것입니다. 검사 시간이 짧고, 환자가 검사 중 거의 활동을 하지 않아도 된다는 점에서 많은 사람들에게 여전히 편리함을 제공합니다. 또한, MRA는 다양한 조영제와 기술을 조합하여 각기 다른 유형의 혈관을 더욱 선명하게 보여주는 데에 도움을 줄 수 있습니다. 예를 들어, 특정한 조영제를 사용하게 되면 말초혈관의적절한 진단이 가능해지며, 이는 나쁜 혈류 상태를 진단하는 데 중요한 역할을 합니다.
MRA의 단점과 고려사항



하지만 MRA에도 단점이 존재합니다. 첫째, MRA에서 사용되는 조영제가 모든 환자에게 안전하지는 않습니다. 특정 개인이 조영제에 알레르기가 있거나 신장 기능이 저하된 경우 사용에 주의가 필요합니다. 둘째, MRA는 뱃속의 구조를 자세히 관찰하는 데 제약이 있습니다. 복부혈관 외의 문제를 정확히 진단하기 위해서는 추가적인 검사 방법이 필요할 수도 있습니다. 셋째, 비만 환자와 같이 기존의 MRI 제한에 따라 이미지 품질이 저하될 수 있는 케이스도 있을 수 있습니다.
MRI의 특징과 장점



MRI는 인체 내부의 조직을 정밀하게 진단하기 위해 설계된 의료 영상 기술입니다. MRI의 가장 두드러진 특징은 다양한 조직의 차별적 이미징이 가능하다는 점입니다. 예를 들어: 신경 조직, 근육, 뼈, 지방 등 다양한 조직을 일정 수준 이상으로 구별하여 보여주는 것이 가능합니다. 이로써 MRI는 다양한 질병의 조기 진단 및 치료 경과 모니터링에 큰 도움이 됩니다.
- 뇌질환 평가: MRI는 뇌 tumors, 신경계 질환 및 인지 장애를 평가하는 데 최고의 진단 도구로 자리잡았습니다.
- 관절 및 근육 구조의 분석: 근골격계 질환 환자에게 많이 진행되는 검사로써, 손상된 부위를 정확하게 진단할 수 있습니다.



- 복부 및 골반 장기 평가: 복부 장기와 골반 장기에 대한 정밀한 이미지를 제공하여, 다양한 질병을 조기 발견하는 데 매우 유용합니다.
MRI의 장점은 무엇보다도 높은 해상도의 이미지를 제공한다는 것입니다. 이는 병변을 보다 명확하게 규명하는 데 도움을 주며, 치료 결정의 정확성을 높일 수 있습니다. 뿐만 아니라, MRI는 방사선 비노출이라는 특징 덕분에 건강 위험이 적고, 안전한 검사법으로 폭넓게 활용되고 있습니다.
MRI의 단점과 고려사항



하지만 모든 기술이 그렇듯이, MRI도 단점이 존재합니다. 첫째, 검사 시간이 비교적 길다는 점입니다. MRI 촬영은 대개 30분에서 1시간 정도 걸릴 수 있으며, 이로 인해 환자에게 불편함을 줄 수 있습니다. 둘째, 폐쇄적인 MRI 장비에서의 검사로 인해 공간에 대한 불안감을 느낄 수 있는 환자들도 있습니다. 이런 언급을 듣고 몇몇 환자들은 검사에 대한 두려움을 보이기도 합니다. 셋째, 특정 금속 임플란트를 가진 환자에게는 안전성의 문제가 발생할 수 있습니다. 이 때문에 검사 전에 충분한 정보와 상담이 필요합니다.
MRA와 MRI의 비교 및 활용 예



MRA와 MRI는 각각 다른 목적과 용도로 사용되지만, 그 사용 분야나 필요한 경우에 따라 서로 보완적인 관계를 형성합니다. 이 두 가지 기술의 비교를 통해 각 기술이 사용하는 상황과 어떤 경우 통합적으로 적용될 수 있는지를 살펴보겠습니다. 특히 심혈관계 질환이나 다른 신체 부위의 질환이 동반되는 경우, 두 기술을 함께 사용한 복합적인 진단이 필요할 수 있습니다. 예를 들어, 심장질환 환자의 경우 MRI는 심장 및 주변 구조를 세부적으로 평가하는 데 활용될 수 있으며, 동시에 MRA를 통해 혈관의 상태를 평가함으로써 보다 전방위적인 접근이 가능합니다.



결론적으로, MRA와 MRI는 각각의 특성과 장점, 단점을 지닌 비침습적 의료 영상 기술입니다. 의사는 이 두 검사법 중 어떤 것이 특정 진단 문제에 가장 적합한지를 판단하는 데 필요한 지식을 갖춰야 하며, 이러한 지식은 환자에게 기대하는 결과를 제공하기 위해 필수적입니다. 따라서 MRA와 MRI의 차이를 이해하고 올바르게 활용하는 것은 환자에게 더 나은 진료를 제공할 수 있는 방법이 될 것입니다.